Dr.Thomas Thomas M D S, Specialist Dental Surgeon
Dr Thomas is a specialist in crown and bridge and prosthodontics which encompasses wide treatment modalities like crowns, bridges, veneers, dentures etc.
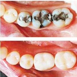
He has been practicing general dentistry which includes root canal treatment, extractions, fillings, pediatric dentistry.
OUR IDAK DENTISTS GIVING
COMPREHENSIVE DENTAL TIPS
COMPREHENSIVE DENTAL TIPS
FAQs Which Patients Have Asked Us
Related to these Youtube Videos
- (1) Is a root canal painful?
- With modern anesthesia, most patients report only mild discomfort.
- (2) How long do dental crowns last?
- Typically 10 to 15 years with good oral hygiene and regular checkups.
- (3) Are veneers reversible?
- Veneers are a permanent treatment because a thin layer of enamel is removed.
- (4) How often should I replace my toothbrush?
- Every 3 to 4 months, or sooner if bristles are frayed.
- (5) Do whitening treatments damage enamel?
- Professional whitening is safe when supervised and used as directed.
- (6) What is the best toothpaste to use?
- Use fluoride toothpaste approved by your local dental association.
- (7) How often should I visit the dentist?
- Every 6 months for checkups and cleanings, or as advised.
- (8) Do I need a root canal or extraction?
- A root canal saves the tooth when possible; extraction is last resort.
- (9) What are signs I need a crown?
- Large fillings, fractures, or after root canal therapy often need crowns.
- (10) Are dental implants safe?
- Yes, they are well-studied and have high long-term success rates.
- (11) How long does a root canal take?
- Usually 60 to 90 minutes; complex cases may require multiple visits.
- (12) Are the clear aligners as effective as braces?
- For many mild to moderate cases, yes; complex cases may need braces.
- (13) Can gum disease be reversed?
- Gingivitis is reversible; periodontitis can be managed, not reversed.
- (14) Is charcoal toothpaste safe?
- Not recommended; it may abrade enamel and lacks fluoride protection.
- (15) What causes tooth sensitivity?
- Exposed dentin from gum recession, enamel wear, or cavities are common causes.
- (16) How do I stop teeth grinding?
- A custom night guard and managing stress usually help.
- (17) When should kids first see a dentist?
- By age 1 or within 6 months of the first tooth erupting.
- (18) Are dental X-rays safe?
- Yes; modern digital X-rays use very low radiation with shielding.
- (19) How can I prevent cavities?
- Brush twice daily, floss daily, limit sugar, and see your dentist regularly.
- (20) Do I really need to floss?
- Yes; brushing alone misses plaque between teeth and under the gums.
- (21) What is a dental bridge?
- A fixed replacement that bridges the gap of one or more missing teeth.
- (22) How long do veneers last?
- On average 10 to 15 years with proper care and regular dental visits.
- (23) Can I whiten crowns or veneers?
- No; whitening works on natural teeth only, not restorations.
- (24) What is the best mouthwash?
- Alcohol-free fluoride mouthwash is generally recommended for daily use.
- (25) How do I manage a dental emergency?
- Call your dentist immediately; for knocked-out teeth, keep moist and seek care fast.
- (26) What are wisdom teeth and why do we have them?
- Wisdom teeth are the last set of molars that usually appear between ages 17 and 25. They were useful for our ancestors who ate harder foods, but today they often cause problems because our jaws are smaller.
- (27) At what age do wisdom teeth usually come in?
- They generally erupt between 17 to 25 years, though some people may never develop them.
- (28) How do I know if my wisdom tooth is impacted?
- Impacted wisdom teeth are stuck under the gum or bone. Symptoms include pain at the back of the mouth, swollen gums, jaw stiffness, or infections.
- (29) What symptoms suggest I may need my wisdom teeth removed?
- If you experience pain, swelling, repeated infections, difficulty opening your mouth, or damage to nearby teeth, extraction may be needed.
- (30) Is wisdom tooth removal always necessary?
- Not always. If wisdom teeth grow in properly and don't cause problems, they can be left alone. Dentists recommend removal only if they cause pain, infection, or crowding.
- (31) Does wisdom tooth extraction hurt?
- The procedure itself is done under local anesthesia, so you won't feel pain. Mild discomfort or swelling afterward is normal and manageable with medication.
- (32) How long is the recovery after wisdom tooth removal?
- Most people recover within 3 to 7 days. Swelling and soreness peak in the first 2 days and gradually improve.
- (33) What foods should I eat and avoid after wisdom tooth extraction?
- Stick to soft foods like yogurt, soups, mashed potatoes, and smoothies. Avoid hot, spicy, hard, or chewy foods for a few days.
- (34) Are there any risks or complications with wisdom tooth surgery?
- Minor risks include swelling, bleeding, infection, or a dry socket. Serious complications are rare if you follow aftercare instructions.
- (35) What is a root canal treatment and why is it needed?
- A root canal removes infected or damaged pulp inside the tooth to save it. It's done when decay or trauma reaches deep into the tooth.
- (36) How do I know if I need a root canal?
- Common signs include severe toothache, sensitivity to hot or cold, swelling in gums, or a darkened tooth.
- (37) Is root canal treatment painful?
- No. With modern anesthesia, root canals are as comfortable as getting a regular filling. You may feel mild soreness afterward.
- (38) How many visits does a root canal usually take?
- Most root canals are completed in 1 to 2 visits, depending on the complexity of the tooth.
- (39) What is the success rate of root canal treatment?
- Root canals have a high success rate of 90 to 95% and can last a lifetime if followed with good oral care and a crown when needed.
- (40) What should I expect after a root canal — is there downtime?
- You may feel slight discomfort for a few days, but most patients return to normal activities the same or next day.
- (41) Do I still need a crown after a root canal?
- Yes, for most back teeth. A crown strengthens and protects the tooth, preventing fractures. Front teeth may need only a filling if they remain strong.
- (42) What happens if I don't get a root canal when needed?
- The infection can spread, leading to abscess, severe pain, bone loss, and even tooth loss.
- (43) At what age should my child see an orthodontist for braces?
- Children should have their first orthodontic check-up around age 7, though treatment may not start until later.
- (44) How long do I need to wear braces?
- Treatment time varies but usually lasts 18 to 24 months. Complex cases may take longer.
- (45) What are the different types of braces available today?
- Options include metal braces, ceramic braces, lingual (behind-the-teeth) braces, and clear aligners like Invisalign.
- (46) Are braces painful to wear?
- Braces aren't painful but may cause mild soreness after adjustments. This usually eases within a few days.
- (47) How often do I need to visit the orthodontist while wearing braces?
- Most patients need a check-up every 4 to 6 weeks for adjustments.
- (48) Can adults get braces too?
- Yes, adults can benefit from braces or clear aligners. Age is not a barrier to orthodontic treatment.
- (49) What foods should I avoid with braces?
- Avoid sticky, hard, or crunchy foods like chewing gum, nuts, popcorn, and hard candies. Soft foods are safer.
- (50) What is the difference between braces and clear aligners like Invisalign?
- Braces use brackets and wires to move teeth, while clear aligners are removable trays. Aligners are nearly invisible and more comfortable, but may not suit every case.
Services & Treatments
Book Appointment
📱 Chat on WhatsApp
Specialty Treatments
Whitening of Teeth
Treatments in Kuwait
Paediatric Treatments
Dental Treatments in Kuwait
Dental Cosmetic Fillings
Treatments in Kuwait
Crown Lengthening and Post Core Crowns
Treatments in Kuwait





